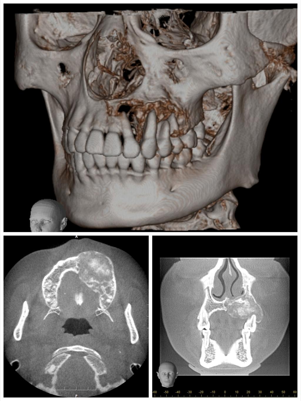
4月8日,beat365唯一官方网站附属口腔医院口腔颌面外科成功实施上颌骨肿瘤扩大切除+数字化血管化腓骨瓣移植修复术,该手术为贵州省首例,填补了省内数字化修复上颌骨缺损的技术空白。
患者今年25岁,是一名年轻的母亲,1年前左侧上颌牙龈出现无痛性肿块,肿块逐渐增大,导致左侧面部畸形和牙松动。心急如焚的她咨询多家医院后,就诊口腔医院口腔颌面外科,口腔颌面外科主任吴亚东了解其病情后,制定了详细完善的个性化手术治疗方案,用血管化腓骨移植修复左侧上颌骨肿瘤切除后的缺损,既保证了术后不会因为硬组织缺失而导致面部塌陷,也能为后期种植牙修复提供足够的骨量。由于患者为年轻女性,为避免在面部留下明显的瘢痕,手术没有行上唇正中至鼻旁入路或下唇侧唇劈开入路,病灶切除及腓骨就位均在口腔内切口完成,但这也大大增加了手术难度。


本次手术历时6个小时,吴亚东团队精确切除了患者左上颌骨肿瘤,利用数字化血管化腓骨瓣及个性化钛网重新恢复了这位年轻妈妈的面型及上颌骨缺损。术后在口腔颌面外科护理团队的精心护理下,患者病情恢复良好,现已治愈出院。面型基本对称,移植的腓骨瓣存活良好。半年后,这位年轻的妈妈就可以利用“新的上颌牙槽嵴”进行种植牙恢复咀嚼功能。



目前,口腔医院完成血管化骨瓣移植修复重建下颌骨、血管化肌皮瓣修复软组织缺损已超百例,技术成熟,各类骨肌皮瓣存活率极高。但上颌骨肿瘤因临近鼻腔、上颌窦、眼眶等重要复杂结构,缺损的形态不规则,切除后缺损的修复有极大难度。上颌骨切除术后会导致口鼻瘘、面型畸形、语言及进食障碍、甚至对病人及其家属造成巨大的心理障碍。口腔颌面外科致力于解决患者的病痛,利用计算机辅助设计 / 计算机辅助制造(computer assisted design/computer assisted manufacture,CAD/ CAM),精准切除肿瘤及修复上颌骨缺损。术前设计、术中准确控制以及术后可靠预测,手术可获得理想上颌骨重建效果。在满足患者外形需求的同时,还保障了相关功能,真正做到了个性化功能性修复重建。
手术的成功标志着beat365唯一官方网站附属口腔医院口腔颌面外科修复重建技术已经可以涉及头颈颌面部各区域各类软硬组织缺损,填补了省内上颌骨缺损修复重建的技术空缺。